Zika, microcephaly link called “surprising”

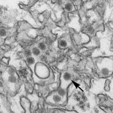
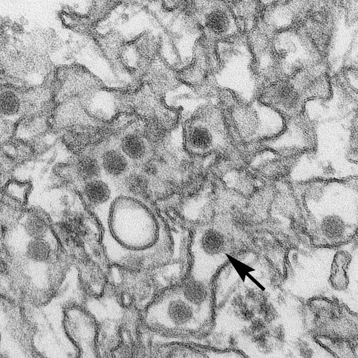
In this transmission electron micrograph of Zika virus, the arrow indicates a single virus particle. Courtesy: U.S. Centers for Disease Control and Prevention.
Zika virus is a flavivirus, as are yellow fever, dengue and West Nile viruses. But none of those other viruses are known to cause microcephaly, which makes the Zika-microcephaly link “surprising,” according to Dr. Hugh Pennington.
Dr. Pennington, an emeritus professor of bacteriology at the University of Aberdeen, made that observation in a recent London Review of Books blog post.
“Diseases caused by the other flaviviruses have been intensively studied for many years without microcephaly turning up as a complication,” he wrote. “It hasn’t been clearly evident in Zika virus outbreaks elsewhere in the world. But flaviviruses mutate in real time. The classic example is West Nile virus. Isolated at the Rockefeller Yellow Fever labs in Uganda in 1937, like Zika it remained quiet for years. Then in the mid-1990s it got nastier, causing severe brain disease with epidemics in North Africa and Southern Europe. It took off in New York in 1999, and spread rapidly across the continent.” Continue reading →
Stephen Lewis accuses UNAIDS of trivializing women
Stephen Lewis, a man familiar with both the United Nations and its agencies and with HIV/AIDS, blasted UNAIDS for trivializing women in its International Women’s Day message.
In fact, Lewis suggested that UNAIDS executive director Michel Sidibé’s statement bordered on misogyny. Continue reading →